Transforming Your Smile for Confidence and Happiness
In today's image-conscious world, a beautiful smile can be a game-changer. A smile makeover is a comprehensive approach to enhancing your smile's aesthetics and function. Whether you have discolored teeth, chipped enamel, or misaligned teeth, a smile makeover can address various dental issues at once to give you the dazzling smile you've always dreamed of. At Miramar Dental Studio, we develop with you a customized treatment plan tailored to your unique needs and goals. It typically involves a combination of dental procedures that may include but are not limited to teeth whitening, veneers, dental implants, and Invisalign.
Benefits of a Smile Makeover
Enhanced Self-Confidence: A beautiful smile can dramatically improve your respect and confidence in yourself. You'll feel more at ease in social and professional situations.
Improved Oral Health: Many smile makeover procedures also change your oral health for the better. Teeth in proper alignment are easiest to keep clean and have the lowest risk of gum disease and cavities.
Long-Lasting Results: With proper care, the results of a smile makeover can last for years, providing a lasting return on your investment.
The Smile Makeover Process
Consultation and Assessment
The journey begins with a consultation with your dentist, Dr. Shahrokh. During this initial meeting, you'll discuss your goals, concerns, and expectations. Your dentist will perform a comprehensive examination of your oral health to determine the best approach.
Treatment Planning
Based on the assessment, your dentist will create a personalized treatment plan. This plan outlines the specific procedures, timeline, and associated costs. It's essential to have a clear understanding of what to expect during your smile makeover.
Smile Makeover Cost
The cost of a smile makeover can vary widely depending on the procedures involved and their complexity. We will discuss pricing and payment options as part of your treatment planning. When we explain the cost involved, we make every effort to make it more affordable for our patients. We work together with various patient financing plans and have an attractive in-house discount plan that offers 20% off all treatments.
Common Smile Makeover Procedures
Teeth Whitening
One of the most popular smile makeover procedures is teeth whitening. This non-invasive treatment can dramatically improve the brightness of your smile by removing stains and discoloration.
Dental Veneers
Veneers are ultra-thin shells of porcelain or composite resin that are bonded to the front of your teeth. They can correct various imperfections, including chips, gaps, and misalignment.
Dental Implants
For missing teeth, dental implants provide a long-lasting and natural-looking solution. They function and look like real teeth, giving you the confidence to smile freely.
Orthodontic Treatment with Invisalign
Invisalign can straighten misaligned teeth, improving both aesthetics and function. These treatments are often a crucial component of a smile makeover.
At Miramar Dental Studio, we understand that a smile makeover is a life-changing journey that can transform not only your smile but your overall well-being. We use a personalized approach to achieving the smile of your dreams. If you've been dreaming of a more beautiful, confident smile, consider scheduling a consultation with Dr. Babak Shahrokh. Your smile makeover adventure awaits!
FAQs (Frequently Asked Questions)
1. How long does a smile makeover typically take?
The duration of a smile makeover varies depending on the procedures involved. It can take a few weeks to several months to complete the transformation.
2. Are smile makeover procedures painful?
Most smile makeover procedures are performed with local anesthesia, ensuring minimal discomfort during the process. Some may experience mild post-procedure discomfort, which can be managed with over-the-counter pain relievers.
3. Is a smile makeover covered by dental insurance?
Dental insurance coverage for smile makeovers varies. Some procedures may be covered if they are deemed medically necessary, while others may be considered cosmetic and not covered. You also have the option to sign up for our in-house dental discount plan.
4. Are there any age restrictions for getting a smile makeover?
Smile makeovers are suitable for individuals of various ages. Your dentist will assess your oral health and determine if you are a suitable candidate for the procedures.
5. Can I choose the shade of white for my teeth in a smile makeover?
Yes, you can discuss your desired tooth shade with your dentist during the consultation. They will help you select a shade that complements your natural features and meets your aesthetic goals.
Please note, we are one of the few San Diego dentist offices open on Saturday.
For detailed infomration about your smile makeover and to meet Dr. Babak Shahrokh, please complete the form below.
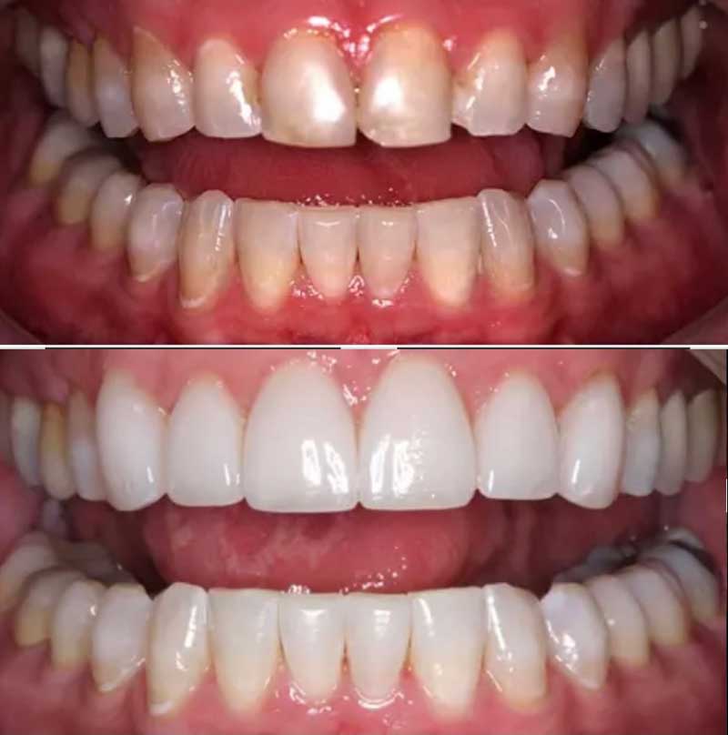
Smile Gallery
